Tinh trùng dưới kính hiển vi là một cảnh tượng sinh học kỳ thú, đồng thời là hình ảnh cốt lõi trong xét nghiệm tinh trùng (tinh dịch đồ). Việc kiểm tra tinh trùng giúp đánh giá khả năng sinh sản của nam giới.
Cấu tạo và chức năng của tinh trùng
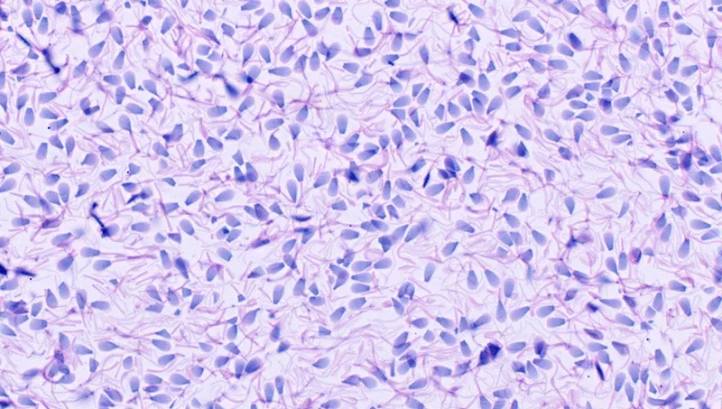
Cấu tạo của tinh trùng dưới kính hiển vi được chia thành ba phần chính: đầu, cổ và đuôi. Phần đầu chứa nhân và enzyme acrosome, cần thiết cho quá trình thụ tinh. Phần đuôi dài và mảnh giúp tạo ra chuyển động để di chuyển về phía trứng.

Chức năng của tinh trùng dưới kính hiển vi là vận chuyển vật chất di truyền của nam giới tới trứng, và tinh trùng di động tốt là yếu tố then chốt quyết định khả năng thụ thai tự nhiên hay trong kỹ thuật tinh trùng ICSI.
Khám phá những hình ảnh tinh trùng dưới kính hiển vi
Khám phá những hình ảnh tinh trùng dưới kính hiển vi trong bộ sưu tập này sẽ cho thấy sự khác biệt rõ rệt giữa hình thái tinh trùng bình thường với tinh trùng dị dạng.



















Tinh trùng dưới kính hiển vi không chỉ là một hình ảnh sinh học cơ bản mà còn là yếu tố quyết định sức khỏe sinh sản. Việc tìm hiểu cấu tạo và chức năng của tinh trùng giúp chúng ta hiểu rõ hơn về khả năng thụ thai.