Khám phá sự vĩ đại ẩn giấu trong thế giới tí hon

Khám phá thế giới sinh học của tế bào máu dưới kính hiển vi

Phạm Anh Tuấn

Bởi Phạm Anh Tuấn

9 tháng 12, 2025 | 4 phút đọc
Khám phá thế giới sinh học của tế bào máu dưới kính hiển vi
Mục lục

Tế bào máu dưới kính hiển vi là một trong những hình ảnh cơ bản và quan trọng nhất trong nghiên cứu sinh học và y học. Máu, thành phần thiết yếu của cơ thể, là một hệ thống phức tạp gồm nhiều loại tế bào khác nhau. 

Cấu tạo và chức năng của tế bào máu

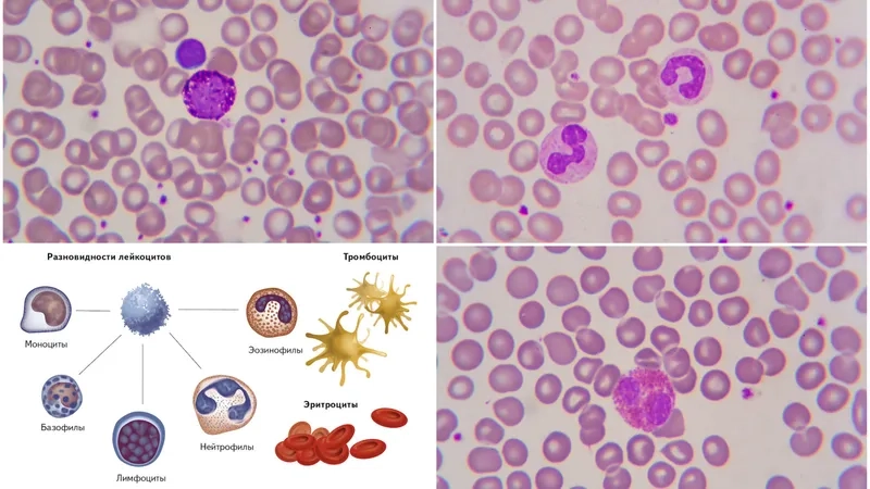
Cấu tạo tế bào máu bao gồm ba thành phần chính: hồng cầu dưới kính hiển vi, bạch cầu dưới kính hiển vi và tiểu cầu dưới kính hiển vi. Các loại tế bào máu này được quan sát rõ nét nhất trên tiêu bản máu ngoại vi đã được nhuộm Giemsa. 

Tế bào máu dưới kính hiển vi thế giới vi mô
Tế bào máu dưới kính hiển vi thế giới vi mô

Mỗi loại tế bào có chức năng tế bào máu chuyên biệt: hồng cầu chịu trách nhiệm vận chuyển oxy, bạch cầu bảo vệ cơ thể khỏi tác nhân gây bệnh, còn tiểu cầu tham gia vào quá trình đông máu.

Khám phá hình ảnh tế bào máu dưới kính hiển vi

Khám phá những hình ảnh tế bào máu trong bộ sưu tập này sẽ giúp bạn phân biệt giữa tế bào máu bình thường với tế bào máu thiếu máu hay hình ảnh tế bào ung thư máu. 

Hình ảnh tế bào máu nhuộm Giemsa
Hình ảnh tế bào máu nhuộm Giemsa
Các loại tế bào máu (hồng cầu, bạch cầu, tiểu cầu)
Các loại tế bào máu (hồng cầu, bạch cầu, tiểu cầu)
Cấu tạo tế bào máu với nhân và bào tương
Cấu tạo tế bào máu với nhân và bào tương
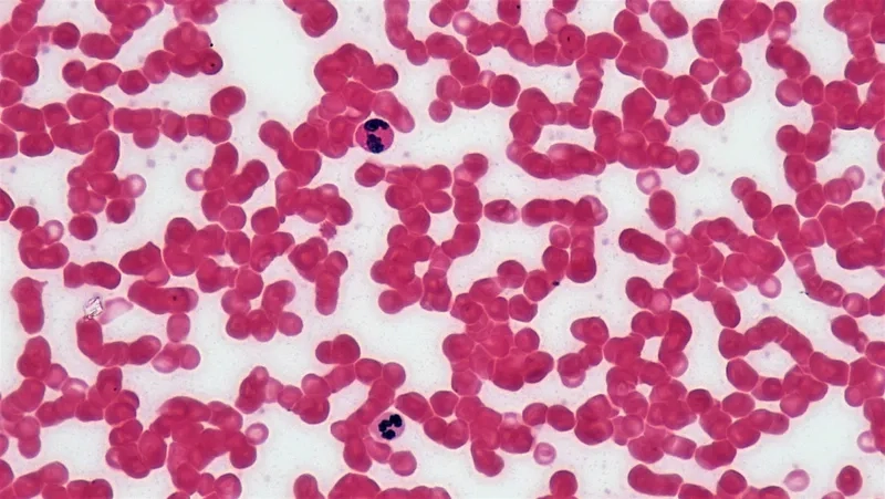
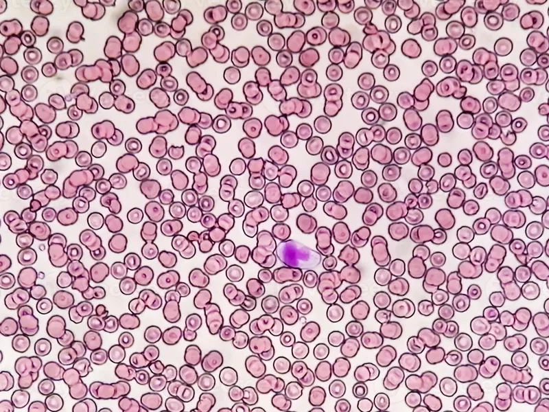
Hồng cầu dưới kính hiển vi hình đĩa lõm hai mặt
Hồng cầu dưới kính hiển vi hình đĩa lõm hai mặt
Bạch cầu dưới kính hiển vi lớn hơn hồng cầu
Bạch cầu dưới kính hiển vi lớn hơn hồng cầu
Tiểu cầu dưới kính hiển vi nhỏ bé
Tiểu cầu dưới kính hiển vi nhỏ bé
Chức năng tế bào máu vận chuyển oxy
Chức năng tế bào máu vận chuyển oxy
Ảnh máu ngoại vi được lấy từ tĩnh mạch
Ảnh máu ngoại vi được lấy từ tĩnh mạch
Tiêu bản máu ngoại vi được cố định và nhuộm
Tiêu bản máu ngoại vi được cố định và nhuộm
Phết máu ngoại vi để quan sát hình thái
Phết máu ngoại vi để quan sát hình thái
Hình ảnh tế bào máu nhuộm giemsa rõ nét
Hình ảnh tế bào máu nhuộm giemsa rõ nét
Hình ảnh tế bào ung thư máu khác thường
Hình ảnh tế bào ung thư máu khác thường
Tế bào máu bị bệnh thay đổi hình dạng
Tế bào máu bị bệnh thay đổi hình dạng
Tế bào máu thiếu máu với hồng cầu nhỏ
Tế bào máu thiếu máu với hồng cầu nhỏ
Tế bào máu bình thường khỏe mạnh
Tế bào máu bình thường khỏe mạnh
Kính hiển vi quan sát máu cần độ phóng đại cao
Kính hiển vi quan sát máu cần độ phóng đại cao

Tế bào máu dưới kính hiển vi là một thế giới vi mô đầy phức tạp, phản ánh chính xác tình trạng sức khỏe của cơ thể. Việc tìm hiểu cấu tạo và chức năng của tế bào máu là nền tảng của y học. 

Chia sẻ bài viết

Phạm Anh Tuấn

Phạm Anh Tuấn là "kiến trúc sư trưởng" đứng sau sự thành công của chuyên mục Ảnh mô hình tại thegioisieunho.edu.vn. Với tư duy không gian sắc bén của một KTS, anh biến những khối nhựa vô tri thành những bối cảnh điện ảnh sống động đến ngỡ ngàng.

×
Ảnh toàn màn hình